我院骨科團隊奮戰5小時, 爲右髋關節多處粉碎性骨折患者 成功開展手術
發布時間:2018-06-06 閱讀:2885 近日,康美醫院骨科團隊連續奮戰5個小時,爲一例右髋臼、右股骨頭、右股骨頸三處部位粉碎性骨折患者成功實施複位内固定手術,标志着我院創傷外科達到國内先進水平。
患者張某,男,37歲,燎原鎮人,體重180斤,4月19日騎自行車時不慎摔倒,右臀部着地,立即感到右臀部疼痛,右下肢活動障礙。在當地診所拍片顯示右股骨頸骨折,随來我院住院治療。經我院CT檢查,診斷爲右髋臼、右股骨頭、右股骨頸三處部位粉碎性骨折。
患者右髋關節損傷嚴重,任一處骨折的手術複位都具有很大挑戰性,而三個部位同時粉碎性骨折的治療難度可想而知。術中骨折達到解剖複位的難度大,術後出現股骨頭壞死、創傷性關節炎的風險極大,緻殘率極高。此類型的骨折對任何一個專業骨科醫生都是很大的挑戰,甚至就直接選擇進行全髋關節置換(非保髋的手術方案),但患者年紀較輕,以後就要面對多次翻修手術(人工關節的壽命大概20年)。
患者家屬出于對我院技術水平的高度信任,強烈要求在我院接受手術治療。我院吳志斌主任帶領的骨科團隊作爲有擔當的團隊,充分考慮患者年紀較輕,爲家裏主要勞動力,首選保髋的手術方案爲患者實施複位内固定手術。
4月24日,吳主任帶領團隊按術前設計的方案,采用大轉子截骨入路,按部就班地進行手術操作。在西門子三維術中CT引導下,手術每個步驟都力求完美,對骨折部位進行精準複位。整個手術奮戰了5個小時。術後複查,骨折複位均達到解剖要求。術前患者家屬還向醫護人員送了紅包,醫護人員給予退還,患者家屬深表感謝。
術後,吳主任進一步爲患者制定了詳細的康複計劃,密切注意愈合和股骨頭情況。經過醫護人員的精心診治、護理,患者恢複良好,已于6月1日康複出院。
該高難度手術的成功開展,标志着我院創傷外科達到了國内先進水平。

△術前
患者張某,男,37歲,燎原鎮人,體重180斤,4月19日騎自行車時不慎摔倒,右臀部着地,立即感到右臀部疼痛,右下肢活動障礙。在當地診所拍片顯示右股骨頸骨折,随來我院住院治療。經我院CT檢查,診斷爲右髋臼、右股骨頭、右股骨頸三處部位粉碎性骨折。
患者右髋關節損傷嚴重,任一處骨折的手術複位都具有很大挑戰性,而三個部位同時粉碎性骨折的治療難度可想而知。術中骨折達到解剖複位的難度大,術後出現股骨頭壞死、創傷性關節炎的風險極大,緻殘率極高。此類型的骨折對任何一個專業骨科醫生都是很大的挑戰,甚至就直接選擇進行全髋關節置換(非保髋的手術方案),但患者年紀較輕,以後就要面對多次翻修手術(人工關節的壽命大概20年)。
患者家屬出于對我院技術水平的高度信任,強烈要求在我院接受手術治療。我院吳志斌主任帶領的骨科團隊作爲有擔當的團隊,充分考慮患者年紀較輕,爲家裏主要勞動力,首選保髋的手術方案爲患者實施複位内固定手術。

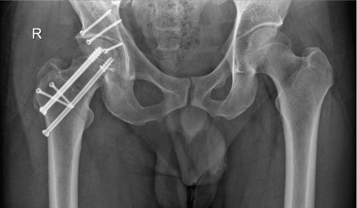
△術後
4月24日,吳主任帶領團隊按術前設計的方案,采用大轉子截骨入路,按部就班地進行手術操作。在西門子三維術中CT引導下,手術每個步驟都力求完美,對骨折部位進行精準複位。整個手術奮戰了5個小時。術後複查,骨折複位均達到解剖要求。術前患者家屬還向醫護人員送了紅包,醫護人員給予退還,患者家屬深表感謝。

△術後康複期
術後,吳主任進一步爲患者制定了詳細的康複計劃,密切注意愈合和股骨頭情況。經過醫護人員的精心診治、護理,患者恢複良好,已于6月1日康複出院。
該高難度手術的成功開展,标志着我院創傷外科達到了國内先進水平。
下一篇:愛眼日義診活動的公告











