影像中心
本院影像科位于門診部一樓,占據整個一樓西側,内設普放候診室、CT與MR候診室、兩個登記室、9個功能機房(現開設兩間DR室、一間數字胃腸室、一間乳腺钼靶室、一間CT室、一間MR室,備用機房三間),還有5個更衣室,VIP室,患者物品儲藏室等。本院于2013年在揭陽市率先、大批量引進德國西門子全套影像設備,包括高配1.5T超導磁共振、128層高配螺旋CT、無線DR兩台(單闆、雙闆)、800mA數字胃腸機、移動無線DR、乳腺雙靶機(钼/鎢靶)、三維C臂(術中CT)等。
一,德國西門子SOMATOM Definition AS+ 64排128層4D螺旋CT是目前世界上最高端的螺旋CT之一,功能強大,配置齊全,能實現128層0.6mm薄層采集,掃描速度快、範圍大,0.3秒旋轉一周,可産生128層圖像,覆蓋4cm範圍。其主要功能和特點表現在:1、冠脈成像。心髒冠脈掃描僅需要5~8秒,大幅度減少了患者的屏氣時間,冠脈血管成像成功率高,圖像質量優異;2、快速大範圍和高分辨掃描,使全胸腹軟組織、全身和四肢血管、骨關節四維成像更逼真、精确,具有四維智能在線劑量調節,大大減少了射線劑量,對全身掃描可節省66%的射線劑量,極大地減少了射線對人體的危害! 3、器官灌注成像;4、肺功能分析;5、齒科全景成像;6、仿真内窺鏡;7、骨密度測量,等。
二,西門子MAGNETOM AvantoI-Class全身磁共振成像系統,是目前世界上最先進的1.5T超導磁共振之一,可以進行全身各部位的高質量掃描,該系統最突出的優勢是:成像速度快、圖像質量高,掃描覆蓋範圍大、掃描噪音小。該系統應用了大量先進技術,包括全景矩陣成像技術(Tim) 、并行采集技術(PAT)、刀鋒技術(Blade)、VIBE、True-fisp及HASTE等技術,裝備了各類最新的磁共振成像脈沖序列,能夠快速、大範圍、高質量的完成全身各部位的成像。主要特點:全身各部位快速掃描成像、功能成像(DWI、PWI、SWI、TDI、MRS)、類PET成像(可用于腹部、盆腔、脊柱、肺部、乳腺良惡性腫瘤的鑒别,壞死組織與惡性腫瘤組織的鑒别,轉移瘤和淋巴結的篩查)、灌注成像、全神經系統(脊柱)成像、高清水成像(MRCP、MRU)、血管成像MRA等。
三,無線DR(單闆、雙闆)、移動無線DR(床邊機),省去有線DR的缺點,避免信息在傳輸過程中的錯誤與電纜的損壞,适用于全身各部位檢查,無線傳輸,圖像清晰、操作簡單。
四,乳腺雙靶機。同時具備軟射線钼靶與鎢靶,針對不同人群與體型,雙靶自動切換,強大的後處理技術,高清成像,适用于乳腺疾病的篩查與診斷。
五,800mA數字胃腸機。17吋大屏,對于消化系統的檢查具有成像超清、射線量少、患者接受輻射少的優點,可行食管、胃、小腸、大腸病變的檢查,全消化道鋇劑及雙重造影檢查,也可行透視及拍片,功能齊全。
1.5T超導核磁共振

64排螺旋CT

800mA數字胃腸機

無線DR雙闆機

無線DR單闆機

乳腺雙靶機

移動DR

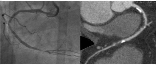
64排螺旋CT冠狀動脈血管成像:
1、簡單:無需經動脈插管,隻需象平時靜脈輸液一樣在肘靜脈内推注相對适量對比劑,然後行快速掃描即可完成整個檢查。
2、安全:64排螺旋CT冠狀動脈造影,對比劑用量較少,無需動脈插入導管,患者無需承擔麻醉及動脈插管等帶來并發症的危險。在冠狀動脈血管疾病的篩查、早期診斷、冠狀動脈成形術和搭橋術前、術後血管評價,冠狀動脈起源異常及心肌橋等方面極具優勢。
3、後處理功能豐富:西門子公司爲SOMATOM Definition AS+ 128層4D螺旋CT配備了功能強大的後處理工作站:MMWP(多産品工作站)和最新型的醫學影像IT工作平台,Syngo.via,智能,便捷。
CT冠脈血管成像:


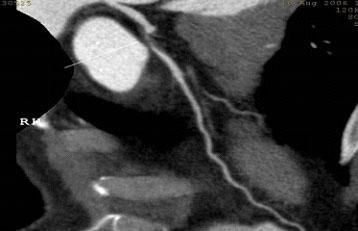
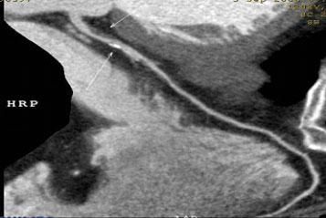
1.冠脈軟斑塊:
2.混合性斑塊:

3.對于斑塊性質的确定,CT優于DSA:
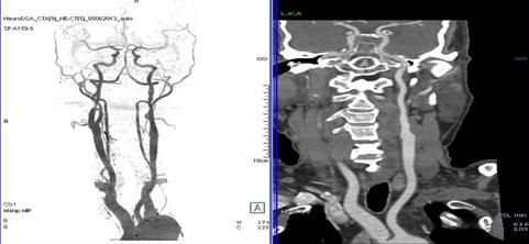
二、多層螺旋CT頭頸部及體部血管成像技術:
該機掃描覆蓋範圍廣、時間短,多種後處理分析軟件能顯示各血管細小分支,可以清晰顯示動脈瘤、動脈夾層、血管畸形、血管狹窄及動脈粥樣硬化斑塊等,适用于頭頸部血管成像、肺動脈成像、胸腹部血管成像及四肢血管成像。
1.顱腦血管成像:
動脈瘤

2、頸部血管成像

3、肺動脈血管成像:
4、腎動脈血管成像(腎動脈狹窄):
5、下肢動脈血管成像:
三、先進的仿真内鏡技術:
從多角度,多平面分析空腔髒器病變,可應用于胃、結腸、血管、氣管支氣管、膽道等仿真内鏡檢查,大大提高了病變的檢出率和診斷的準确性。
四、全尿路成像及骨關節三維成像。
全尿路成像(CTU):

冠狀動脈造影檢查的适應症
一、冠心病診斷:
1,中年以上原因不明的胸痛或勞力性心絞痛;
2,中年以上靜息性心電圖ST-T改變,考慮心肌缺血者;
3,中年以上心電圖、超聲心動圖或核素心肌灌注并負荷試驗陽性或可疑陽性者;
4,中年以上原因不明心髒擴大、心電圖異常或心力衰竭者。
二、無症狀冠心病篩查:
1,中年以上存在多項冠心病危險因素者;
2,中年以上無症狀而心電圖異常者,負荷試驗陽性或可疑陽性者;
3,中年以上超聲心動圖檢查懷疑心肌缺血者。
三、高齡(65歲以上),原因不明心髒擴大、心電圖異常,心力衰竭,待除外冠心病者;
四、冠狀動脈插管困難:如外周血管病變、懷疑冠狀動脈開口異常導管不到位;患者過度緊 張拒絕有創檢查者;
五、選擇性冠狀動脈造影并發症,如夾層、壁内血腫的診斷與複查;
六、冠狀動脈支架或搭橋手術後的随訪手術;
七、先天性冠狀動脈異常:
1,心髒/大血管手術前除外冠狀動脈病變者;
2,各年齡組先心病治療前除外并存冠狀動脈起源、走行、分布異常者;
3,小兒心肌梗死、心髒擴大、左心功能衰竭懷疑冠狀動脈先天性畸形者;
八、小兒川崎病臨床懷疑冠狀動脈受累者;
九、急診患者急性胸痛鑒别診斷:主要考慮三大類主要疾患:冠心病(急性心梗、不穩定性心絞痛等)、主動脈夾層及肺動脈栓塞。MDCT是及時、準确、有價值的檢查方法。
十、心髒外科術前、血管病外科術前除外冠心病;
十一、心髒電生理檢查前後:除外冠狀動脈病、觀察肺靜脈解剖,MDCT是有價值的無創檢查手段。
禁 忌 症
一,碘過敏者爲絕對禁忌症;
二,嚴重腎、心、肺功能異常者爲相對禁忌症;
三,心律不齊者、心率較快者(心率>75次以上者成功率較低)。MDCT對心律與心率有嚴格要求,特别是心律不齊者直接影響采像,導緻重建失敗。
問:如何選擇冠脈CT檢查與冠脈血管造影檢查(DSA)?
答:64排螺旋CT冠脈成像屬于無創性檢查,排除冠心病的準确率達90%以上。該檢查假陰性率極低,換言之,若冠脈CT檢查正常,就沒必要再做冠脈造影。因爲冠脈CT爲疑似冠心病患者有效的篩查手段。
冠脈造影術屬于介入微創手術,其優勢在于可同時進行檢查與治療。符合急性冠脈綜合征、心肌梗死、不穩定型心絞痛患者,則應盡早進行介入幹預,直接作冠脈造影比較合适。











