康美醫院開展經皮肺細針穿刺活檢術 ——診斷周圍型肺癌的金标準
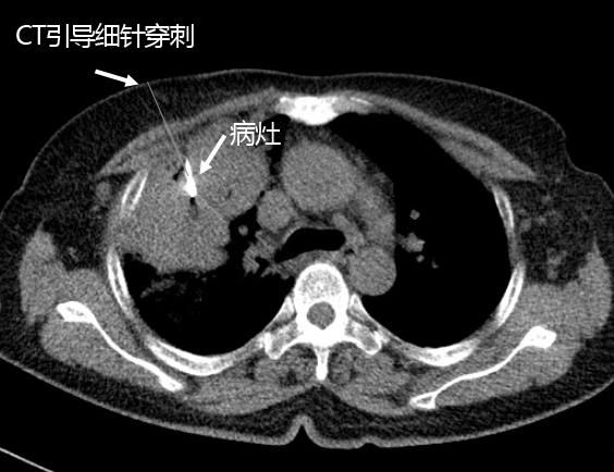
發布時間:2018-01-22 閱讀:4137 患者劉某,女,62歲,因“發現頸部淋巴結腫大2月餘”于本月6日入院。檢查雙側頸部可扪及多個大小約1*0.5cm淋巴結,質硬,無壓痛。入院後經胸部CT增強平掃發現右肺上葉腫塊,結合腫瘤标志物檢測,考慮肺癌。
通過病理檢查結果确診爲右肺腺癌,李主任随即根據該型肺癌特點結合患者身體情況,爲其制定個性化治療方案,爲患者争取到了寶貴的治療時機,取得良好治療效果。
由于周圍型肺癌分型不同,治療方案不同。以往醫學界隻能在患者術後取腫瘤組織送病理檢查,才能确診其良惡性以及對腫瘤分型,即是先手術後确診。而經皮肺穿刺活檢術把診斷提到了前面,即先确診後治療,對周圍型肺腫瘤的診療無疑有重大意義。
康美醫院緊跟醫療技術的發展前沿,利用在地區領先的醫療設備和精湛的技術,爲周圍型肺癌的精準治療打下堅實基礎,爲提高本地區醫療水平貢獻一份力量。

通過病理檢查結果确診爲右肺腺癌,李主任随即根據該型肺癌特點結合患者身體情況,爲其制定個性化治療方案,爲患者争取到了寶貴的治療時機,取得良好治療效果。

由于周圍型肺癌分型不同,治療方案不同。以往醫學界隻能在患者術後取腫瘤組織送病理檢查,才能确診其良惡性以及對腫瘤分型,即是先手術後确診。而經皮肺穿刺活檢術把診斷提到了前面,即先确診後治療,對周圍型肺腫瘤的診療無疑有重大意義。

康美醫院緊跟醫療技術的發展前沿,利用在地區領先的醫療設備和精湛的技術,爲周圍型肺癌的精準治療打下堅實基礎,爲提高本地區醫療水平貢獻一份力量。











